10月28日凌晨3点,45岁的李先生,在睡眠中突然感到剧烈胸痛,突发胸痛伴大汗。病情平稳后,李先生回忆说,当时疼痛向咽部及右上肢放射,逐渐加重,无法缓解。
当地医院迅速接诊,第一时间进行心肌损伤标志物检查,明确诊断:急性心肌梗死!
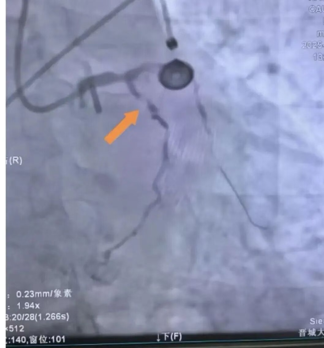
冠脉造影结果令人震惊,冠脉复杂程度极其严重,生命危在旦夕。为了患者的生命安全,医生建议转院治疗。
分秒必争,无缝衔接,多学科联动筑牢生命防线!
三支主要冠状动脉中,前降支近段完全闭塞,右冠脉亦已闭塞,回旋支近段狭窄达90%,心脏仅靠极微弱的侧支循环维持供血,患者随时可能因心源性休克或恶性心律失常猝死。
手术前


接到转院指令后,山西省医院协会常务理事单位——晋城大医院急诊医学科立即启动应急救治预案,绿色通道全面开启。急诊医学科、心血管内科、重症医学科、麻醉与围术期医学科等多学科迅速响应待命,介入手术团队术前准备同步推进。
时间就是生命!面对如此危重复杂的三支病变,一场与时间赛跑、与死神较量的生命接力,就此展开。
高效救治,专家引领,跑赢急性心梗“生死时速”!
导管室手术团队立即集合,主动脉内球囊反搏(IABP)设备迅速就位,ECMO体外生命支持系统全程待命。患者抵达医院后,直接由救护车经绿色通道直送导管室,只为在最短时间内为患者争取生机。

毋会芃副院长、崔少波院长助理带队,介入团队迅速为患者实施急诊冠脉介入治疗。手术精准指向本次心梗相关血管前降支,短短数分钟血管就被开通,并植入支架一枚,前向血流TIMI3级;同时在严重影响血流的回旋支近段置入支架一枚。
手术后


李先生入院到手术,实现了“患者未到、信息先通,人到即治、治即救命”的高效急救模式。手术成功后,李先生转入重症医学科严密监测,2天后,转入心血管内科。现患者已经可以下床活动。
此次成功挽救三支病变急性心梗患者生命,再次彰显了医院在急危重症救治领域的硬核实力,体现了医院多学科紧密协作的责任担当,更是医院“以患者为中心”的生动实践。