近日,山西省医院协会副会长单位——中国中医科学院西苑医院山西医院(山西中医药大学附属医院)多科接力与死神极限拉扯,成功救治一名慢性阻塞性肺疾病急性加重引发肺性脑病的高龄女性患者。目前,老人各项机能恢复良好,顺利出院。
83岁的马阿姨因“左侧肢体无力、麻木半月”,于2024年5月28日住进医院脑病科接受系统治疗。老人患有急性脑血管病、高血压病3级以及冠状动脉粥样硬化性心脏病、慢性阻塞性肺疾病,病情相对复杂。
6月4日,马阿姨突然出现胸憋、气紧,间断干咳并呕吐不止,医护立即予以对应治疗。但十几分钟后,马阿姨再次呼吸困难,气喘不适加重,意识水平下降,血压高至179/103mmHg,指尖血氧饱和度降为89%,心率快至104次/分。此时的她面色紫暗、口唇青紫、大汗淋漓,虽神志清醒,但不能言语,精神萎靡。主管医生查体发现,其双肺呼吸音弱,可闻及少许喘鸣音,左侧瞳孔1.0mm,光反射迟钝。接到通知的心血管病中心和肺病科专家火速前来会诊,给予无创辅助通气、湿化气道等抢救措施,但收效甚微。闻讯而来的重症医学科负责人郭海伟马上展开辅助抢救,通过细致检查,发现患者凝血功能严重异常,肺部感染,考虑存在肺性脑病,立即予以静脉滴注以持续兴奋呼吸中枢,同时调整呼吸机氧浓度。经过一小时的紧张有序抢救后,马阿姨各项指标趋于稳定,经家属同意后转入ICU进一步治疗。

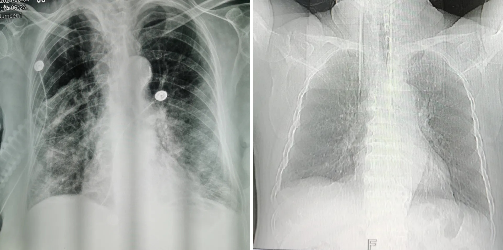
▲治疗前(左)、治疗后(右)
ICU医护团队第一时间召开紧急病例讨论会,为马阿姨制定了精密的治疗方案。在动态复查血气、关注炎症、凝血、肝肾功能及电解质水平的基础上,予无创呼吸机辅助呼吸,提高氧供,改善氧合,减轻心脏负荷。结合床旁胸片给予静滴以防止感染,配合雾化吸入降低气道炎症,改善气道痉挛,帮助患者祛痰……5日后,复查结果显示,马阿姨恢复良好,不仅意识清楚,精神状态也好了起来,能够顺畅地和医护进行交流。看到马阿姨转危为安,家属悬着的心终于放下了。
西苑医院山西医院ICU负责人提醒各位患者:肺性脑病是由于呼吸衰竭发展到严重阶段,机体严重缺氧和二氧化碳潴留所引起的以中枢神经系统障碍为主要表现的临床综合征。临床特征为原有的呼吸衰竭症状加重并出现神经精神症状如神志恍惚、嗜睡或谵妄、四肢抽搐甚至昏迷等。据国内报道,其病死率为40.6%~67.2%。如肺部疾病史多年,突发意识障碍,请紧急就医。
中国中医科学院西苑医院山西医院(山西中医药大学附属医院)重症医学科(ICU)于今年正式开科运行,实现了医院院前急救、院内急诊、危重症救治一体化的救治模式,可为急危重症患者提供全面、规范、有效的生命支持和治疗。(郭海伟)