近日,山西省医院协会常务理事单位——运城市中心医院心血管内科在中国医学科学院阜外医院乔树宾团队的指导下,成功实施首例梗阻性肥厚型心肌病经皮腔内室间隔心肌消融术(酒精化学消融术)。此举标志着该院为河东父老的心脏健康提供了微创治疗的新选择。
61岁的崔师傅因发作性胸痛就诊于运城市中心医院心内科门诊,心脏超声提示为:梗阻性肥厚型心肌病,室间隔最厚处18mm(正常为7-11mm),估测左心室流出道压差66mmHg(正常一般无压差)。进一步做冠脉造影和左心室测压发现,患者左心室内压力为180/20mmHg左右,流出道压差最大可达80mmHg。
一般情况下,肥厚型心肌病只需要药物保守治疗,但崔师傅左心室流出道的压差大于50mmHg,随时有可能发生猝死的情况,需要立即进行手术。同时,崔师傅心脏有可用间隔支,符合手术指征。心内科业务主任郝六一及医生张国英、杨卓璇、刘龙、郭鑫等对病例反复研讨和沟通后,决定采用酒精化学消融术为崔师傅进行治疗。
针对肥厚型心肌病,目前的治疗方案中,除外科手术外,内科微创介入治疗方法包括经皮腔内室间隔心肌消融术、经皮心肌内室间隔射频消融术、经皮心内膜室间隔消融术等,其中以经皮腔内室间隔心肌消融术(酒精化学消融术)积累的病例资料最多,手术经验最为丰富。酒精化学消融术是一种微创手术,通过前降支血管的其中一个间隔支放入球囊,并通过球囊中间的中心腔,注入99%纯度的无水酒精,达到精准控制心肌坏死,使得肥厚心肌变薄,心室腔隙变大,流出道压差降低,从而减轻因心肌肥厚给患者造成的危害。
与运城市中心医院合作的“乔树宾心血管疾病山西省工作室”团队是国内开展酒精化学消融术最多的团队之一。但该项技术在运城地区尚未开展过。经与乔树宾教授团队反复沟通后,11月18日,运城市中心医院心血管内科在阜外医院袁建松、王天杰两位教授的指导下,成功开展了梗阻性肥厚型心肌病酒精化学消融术。
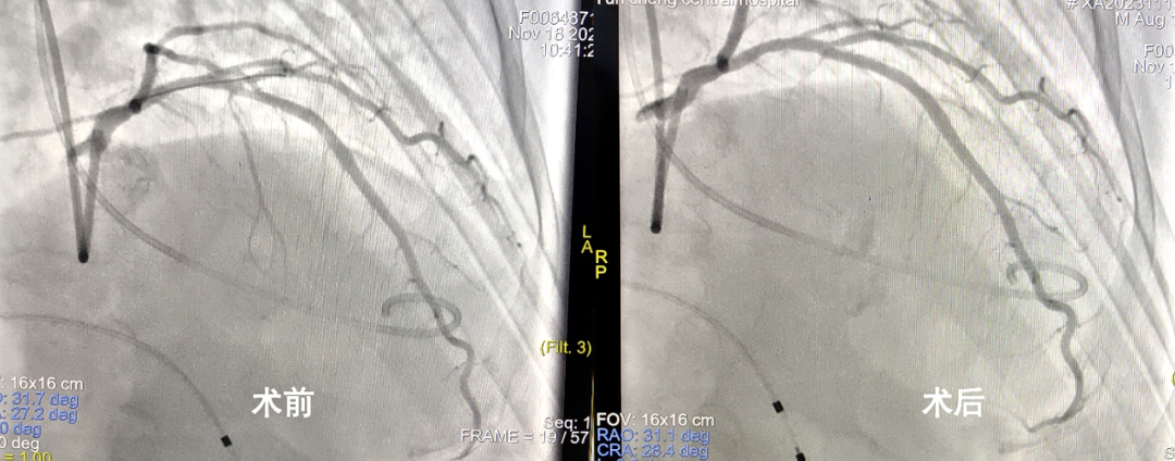
术中,选定目标间隔支后,袁建松教授将OTW球囊准确定位后加压堵塞间隔支,运城市中心医院超声科冯大鹏医生配合观察各项指标,估测符合手术要求。之后,袁建松教授分次缓慢注入无水乙醇注射液,并严密观察患者心律、血压变化,判断消融终点,最终患者左心室测压力下降至122/23mmHg左右,回撤导管测得左心室流出道压差为12mmHg左右,达到预计消融效果。手术全程仅用时30分钟,患者无明显疼痛感。术后,患者仅有轻微胸闷不适,血压和心律无明显变化,复查心脏超声提示室间隔厚度降低为14mm,手术成功。
手术过程看似简单,实则每一步都充满未知与挑战。手术的成功与前期方案的制定、对病情的正确预判息息相关,同时也离不开医生对细节的把握和规范的操作。因为酒精对心脏的伤害是不可逆的,所以如何减轻患者术中的疼痛感、如何加压堵塞其他旁支不让酒精“乱流”、如何控制压力维持在合适范围、如何把握酒精进量精准控制消融范围……每个环节医生都需要仔细观察、及时调整,最大程度为患者规避术后可能出现的并发症。
心脏是我们体内“强悍但脆弱”的器官,血液从这里泵出,去往全身各个地方。但一根小血管堵塞,或内室“墙壁”肥厚,都会让心脏“瞬间停跳”。心脏的左右心室之间,有一道“墙壁”,医学上称其为“室间隔”,它负责隔断血液,避免左右心室血液的相通。如果室间隔增厚,心室空间会逐渐变小,血流输送通道变狭窄,导致狭窄前后端压力阶差(简称压差)增大,患者可能会出现胸痛、呼吸困难、心悸、晕厥甚至猝死的风险,危及生命。其中,梗阻性肥厚型心肌病由于其肥厚的心肌对左心室血液流出道造成阻塞最为危险。
肥厚型心肌病是由于编码肌小节相关蛋白基因致病性变异导致的、或病因不明的以心肌肥厚为特征的心肌病。通俗来讲,就是与自身遗传基因或基因突变有关。通过心脏彩超和磁共振检查,明确左心室舒张末期任意部位室壁厚度大于15mm即可确诊。致病基因检测阳性者,或遗传受累家系成员检查左心室壁厚度大于13mm也可确诊。(杨卓璇 周怡璇)
