近日,山西省医院协会理事单位——中国中医科学院西苑医院山西医院(山西中医药大学附属医院)胸痛中心以快速的应急能力、过硬的急救技能,成功救治一名50岁急性心梗合并反复室颤患者,再次创造了生命奇迹!
让我们一起走进这段生命纪实,感受一场惊心动魄的生死较量……
心梗再遭室颤 胸痛中心医护与“死神”博弈
3月27日是平凡的一天,但是对于孙师傅来说注定是不平凡的日子……
当日早晨八点半,孙师傅突发胸痛,伴大汗、胸前区压榨感,含服速效救心丸无效,立即呼叫120。中国中医科学院西苑医院山西医院接警后迅速出动,到达患者处,完善心电图提示:急性广泛前壁ST段抬高型心肌梗死。
120的冯景医生冷静判断病情危重,立即将心电图发至医院胸痛中心“群”,同时心血管病中心、急诊科、导管室迅速联动,心血管病中心王飞燕副主任医师接到通知,第一时间飞奔至急诊科等候患者到来。
患者被安全转运至急诊科抢救室,王飞燕结合患者的症状及心电图情况,考虑左冠脉前降支急性闭塞。这种类型的急性心梗变化极快、病情更凶险。医护团队立即按照STEMI抢救流程进行处置,并向家属告知病情及潜在风险,建议进行急诊PCI治疗。家属商议后表示理解并签字同意,遂送往导管室进行介入干预。
但是,患者的病情瞬息万变!
在将患者搬运上手术台时,孙师傅突发意识丧失,牙关紧闭,口吐白沫、四肢抽搐,心电监护示:室速、室颤交替出现,情况十分危急!
“准备抢救!准备除颤仪!紧急除颤!”胡国勋主任迅速作出指示。
介入团队立即给予150J电除颤一次,紧急心肺复苏术,护理团队立即给予肾上腺素、去甲肾上腺素、间羟胺注射液等药物,同时准备吸氧、吸痰,备台手术器材。心血管病中心张国强副主任医师也赶来协助,麻醉科医生紧急到位,介入科闫彬和马旭湛医师继续心肺复苏电除颤……
几轮心肺复苏、电除颤,患者仍反复出现室颤。此时患者无有效心律,脉搏根本无法触及,多次尝试均无法确认穿刺股动脉成功。
“再来!继续(电)除颤!”医护人员继续全力以赴……
时间一分一秒过去,与死神决战的斗志却越挫越勇,一次又一次的电除颤,一次又一次胸外按压,一次又一次的药物注射……奇迹发生了!在整个团队的密切分工协作下,终于穿刺股动脉成功,同时在12次有效电除颤后,患者恢复了自主心跳!导丝穿过闭塞冠脉,患者心脏血流恢复,立即开始进行冠脉造影、介入治疗。
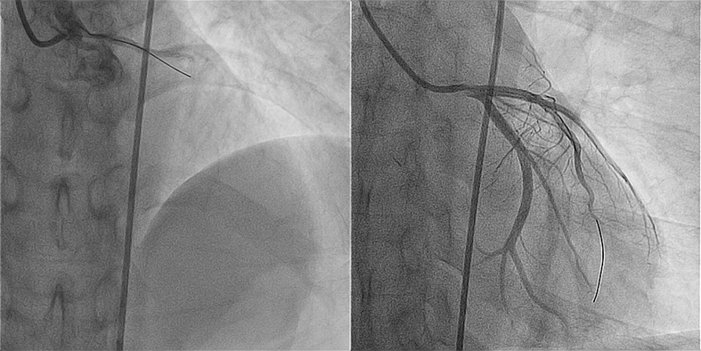
冠脉造影提示果然是急性前降支闭塞!“JL4.0、SION导丝、2.5的球囊、压力泵……”胡国勋主任根据病变情况,做出精准判断,介入团队紧张有序的进行手术。
随着球囊、支架穿过患者冠脉病变处,闭塞血管成功恢复3级前向血流,患者各项生命体征趋于稳定,终于转危为安。

18px;">▲左图为LAD闭塞影像、右图为支架术后影像
患者转危为安 家属特表感谢
在心血管病中心监护病房,经镇静、升压、抗血小板、抗凝等对症治疗后,患者病情趋于稳定。在“鬼门关一游”的孙师傅激动地说:“正是因为有了胸痛中心全体医护人员坚持不懈的抢救、及时精准的施治,才换回了我的生命。”
时间就是心肌,时间就是生命。接诊急诊心肌梗死患者后,要争分夺秒积极干预,力求最短时间内恢复血流,挽救濒死心肌细胞,改善患者心功能,改善预后。
近年来,中国中医科学院西苑医院山西医院不断创新发展思路,提高医疗服务水平,综合实力得到明显提升。自2022年胸痛绿色通道建立以来,已经成功抢救百余例急性心梗患者,大大降低了心梗死亡率,有效改善了患者的预后和生活质量。2023年,医院依托心血管病中心联合多科室成功启动了中国胸痛中心标准版认证。作为国家区域医疗中心建设的重要组成,医院将全力以赴做好中心的建设和宣传工作,进一步提高急危重症的救治能力,为三晋百姓的健康保驾护航。(闫彬)
