7月18日,山西省医院协会理事单位——山西白求恩医院 同济山西医院呼吸与危重症医学科联合麻醉科、手术室,完成医院首例全肺灌洗术,成功为一名肺泡蛋白沉积症患者进行了大容量全肺灌洗治疗,术后患者症状明显好转,当即感觉呼吸畅快。

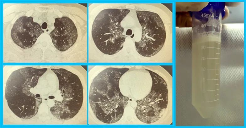
今年32岁的孟先生,1年前出现胸憋、活动后呼吸困难等症状,但是自我感觉还年轻体壮的他一直也没有进行规范治疗。半月前,孟先生呼吸困难、胸憋症状突然加重,爬楼时症状尤为明显。家人多方打听后紧急来到山西白求恩医院呼吸与危重症医学科就诊。入院后,胸部CT显示孟先生双肺弥漫性病灶,呈地图样改变。经支气管镜肺泡灌洗及肺活检术后可见牛乳样灌洗液,静置后分层,风湿系列、肿瘤系列等化验均为阴性。同济医院常驻专家、山西白求恩医院副院长刘先胜教授、呼吸与危重症医学科主任谢敏教授依据患者病史、影像学检查、气管镜检查最终诊断为特发性肺泡蛋白沉积症(PAP)。

谢敏教授介绍,肺泡蛋白沉积症是一种病因不明、以肺泡内大量磷脂蛋白样物质异常沉积为特征的罕见病,多发于青中年,男性发病率约3倍于女性。发病多隐袭,呼吸困难是该病的主要特征。该病的治疗方式为全麻下大容量全肺灌洗术、重组粒细胞-巨噬细胞集落刺激因子(GM-CSF)吸入或皮下注射给药,但GM-CSF仍处于临床研究阶段,因此全肺灌洗术是目前治疗该病最有效的方法。大容量全肺灌洗是一项高风险手术,需要在全麻下进行,无论对于操作医师,还是麻醉医师来讲,都极具挑战性。
经过全科会诊讨论,为缓解症状、控制病情决定立即行右肺大容量全肺灌洗术。呼吸与危重症医学科谢敏主任、成孟瑜副主任、郝艳艳副主任医师、王艳红护士长、卫晶护士长联合中心手术部王秀梅总护士长团队、麻醉科王学仁主任团队等组成术前筹备组,详细准备术前物品,反复演练操作流程,多次沟通操作细节,并为术中、术后可能出现的并发症制备应急预案。

7月18日,呼吸与危重症医学科谢敏主任团队在麻醉科王学仁主任团队、中心手术部王秀梅总护士长团队的紧密配合下,对孟先生进行了全麻下经双腔气管插管行右肺大容量全肺灌洗术。麻醉医师一次性完成双腔气管插管置入,并进行漏气检测,成功完成单肺通气要求。谢敏主任将37℃生理盐水分多次经气管插管灌入,再通过重力引流、拍背震荡、反复变换体位将灌洗液引出至玻璃瓶内,直至灌洗液变为清亮。
手术历时3小时18分,8000ml生理盐水分多次灌入,回收7300ml,回收率满意,手术过程顺利。术中患者生命体征平稳,术后拔除气管插管、麻醉苏醒后安返病房。
术后第二日,孟先生恢复迅速,未吸氧时指脉氧饱和度为96%,平地快走时未感到明显呼吸困难,此次大容量全肺灌洗术顺利完成充分显示了山西白求恩医院强大的多学科协作能力,以及对呼吸系统罕见病的超强诊疗能力,也预示着医院在国家区域医疗中心建设的征途中又迈出了坚实的一步。
山西白求恩医院呼吸介入团队对标国内标杆单位,积极探索,勇于挑战,不断开展新技术、新项目,在气道狭窄介入治疗、经皮肺穿刺、气道支架植入、肿瘤氩氦刀冷冻消融、肿瘤粒子植入、大容量全肺灌洗术等方面积累了丰富的临床经验,特别是在内镜介入治疗方面取得了长足进步。未来,山西白求恩医院呼吸与危重症医学科将继续尽心、尽责、尽职为患者服务,造福更多三晋百姓。
