时间:
2022-07-22
近期,山西省医院协会理事单位——临汾市人民医院普通胸外科成功开展一例肺曲菌球手术,目前患者已康复,恢复正常生活,体重增加10kg,本例手术填补临汾市空白。
患者,男,31岁,无明显诱因间断咯血3年,7个月前急诊行支气管动脉栓塞术,4个月前发现肺部占位病变入住我院。行胸部CT显示“双肺支气管扩张伴感染,真菌?双肺陈旧性结核”,口服伏立康唑抗真菌治疗,此后痰中带血。患者2010年诊断肺结核,规律抗结核治疗,结核控制良好。

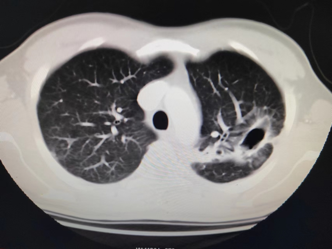
术前左肺空洞型病灶

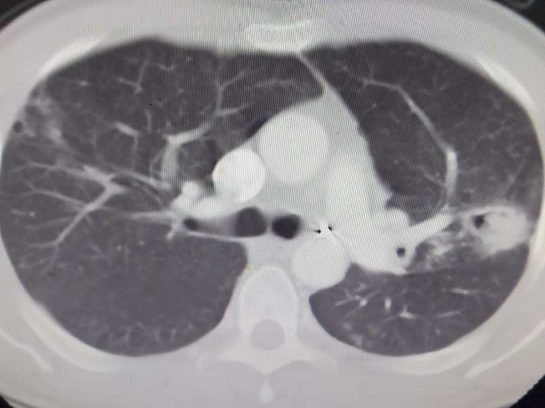
术前胸部CT,见空洞内曲菌球

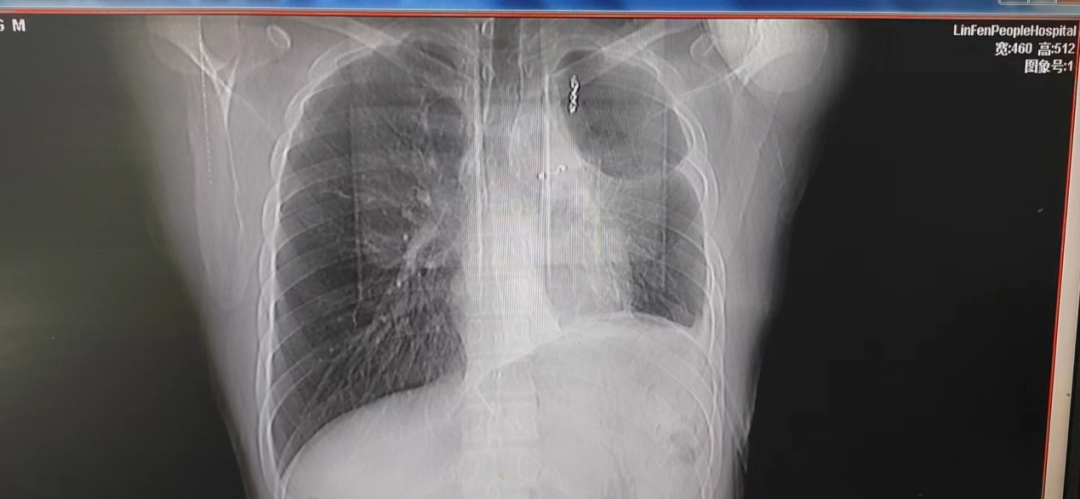
术后早期胸片,见左上胸腔较大的残腔

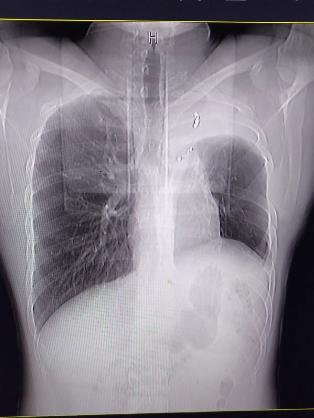
术后3月胸片,见残腔消失
肺曲菌球病在临床上并不少见,好发于青壮年,许多病例死于大咯血,对健康危害很大,手术是唯一根治的方法。肺曲菌球病手术复杂,针对病例情况,临汾市人民医院普通胸外科多次组织院内讨论,完善术前准备,针对可能出现的风险,制定各种预案,术中精心操作,术后引入快速康复理念,患者恢复良好。(普通胸外科)
